Il reviendra dans un an faire un nouveau contrôle cardiaque. Cholestérol Artères coronaires Le magazine de la santé. Le scanner de score calcique est devenu un examen de prévention des maladies cardiovasculaires chez les personnes qui ont un excès de cholestérol. Mais de quoi s'agit-il et à quoi sert-il ?. Attention : le score calcique coronaire n'a aucun intérêt chez les personnes qui ont fait un accident cardiovasculaire, qui ont une maladie coronaire avérée ou qui sont à haut risque cardiovasculaire (>20 % d'évènements cardiovasculaires à 10 ans).

Le score calcique 2 minutes pour comprendre YouTube

Score calcique Cardiologie du Roannais

DÉPISTAGE DE LA MALADIE CORONAIRE EN 2023 SCORE CALCIQUE OU COROSCANNER ? QUE RETENIR EN

Ecordiam

QUIPERDGAGNE SANTE Qu'est ce que le Score Calcique Coronaire

Le score calcique un prédicteur innovant des maladies cardiovasculaires

Calcium score guidelines screen shot XRANM

Intérêt diagnostique et pronostique du score calcique coronaire chez les patients diabétiques

Calcium Score Index cos'è, perché è importante e quanto costa

Étude ACCoDiab association entre IPSO et calcifications coronaires chez des patients DT1 et

Score calcique Cardiologie du Roannais

Coronary Artery Calcium Scoring Heart and Vascular Institute of Wisconsin

Score calcique coronaire Plateforme de téléconsultation

Imagerie cardiaque au centre d'imagerie cardiaque Medimage

Pertinence du score calcique pour la prédiction du risque CV chez les patients heFH Nouvelle

Le score calcique comme facteur prédictif du risque global Le Quotidien du Médecin

PPT Douleur thoracique aiguë. Place du CoroScanner. PowerPoint Presentation ID6114343

Scanner à Lyon Imapôle LyonVilleurbanne

PPT Douleur thoracique aiguë. Place du CoroScanner. PowerPoint Presentation ID3933409

PPT Douleur thoracique aiguë. Place du CoroScanner. PowerPoint Presentation ID6114343
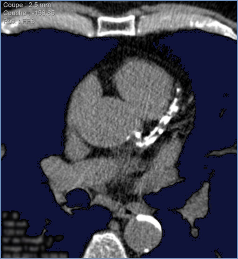
L'examen de score calcique coronaire calcule la quantité de plaque calcifiée dans les artères. Ces calcifications constituent un indice précoce de maladie du cœur. Votre professionnel de la santé peut prescrire ce test de diagnostic dans le but de vérifier si vous présentez un risque plus élevé de développer des problèmes cardiaques.. De détecter des calcifications des artères coronaires ou des valves cardiaques, avec établissement du score calcique qui peut être un critère pronostic. D'identifier des calcifications péricardiques; L'évaluation de la fonction cardiaque (cœur droit et gauche) De visualiser l'anatomie du cœur, de ses différentes cavités pour un contrôle